肝炎・肝酵素上昇
- HOME
- 肝炎・肝酵素上昇
肝炎・肝酵素上昇
肝炎・肝酵素上昇は、薬剤や中毒性物質の摂取、細菌やウイルスの感染、免疫介在性、腫瘍性、血管の異常、胆石や胆管閉塞、また胃腸炎や膵炎に続発して発症するなど原因は様々です。
症状は、嘔吐や下痢、食欲不振、元気消失、腹部痛、発熱など非特異的なものが多く、その他では黄疸や神経症状を呈する場合もあります。一方で、症状を伴わない場合もあります。
原因により転帰は様々です。
肝炎・肝酵素上昇の検査
◎血液検査・・・肝酵素を測定すると同時に、肝機能の項目を評価します。また、白血球数やCRPの測定も行い、原因を推測します。
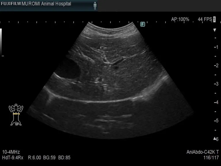
◎腹部エコー検査・・・肝臓実質、門脈や後大静脈、胆嚢や胆管の状態を調べると同時に、周囲の腸管や膵臓、腹水の有無を確認します。
○レントゲン検査・・・肝臓の大きさや胆石の有無などを確認します。
○尿検査・・・細菌やビリルビン、尿酸アンモニウムの確認を行います。
△CT検査・・・肝臓腫瘍や胆管閉塞、血管の異常などを疑う場合、状況により外部に依頼する事があります。
△肝生検・・・麻酔や開腹手術が必要になるため、全身状態が優れない時期に行うことはほぼありません。

肝臓エコー画像
肝炎・肝酵素上昇の治療
◎点滴・・・強肝剤、ビタミンC、ビタミンB群や制吐剤などを混合し、持続的に血管内に点滴を行います。
◎内服薬・・・肝庇護薬やSAMeサプリ、アミノ酸製剤など。原因や症状によりにより抗生剤、制吐剤、免疫抑制剤、ラクツロースなど。
○フード・・・多くの場合は消化器用フードを使用し、門脈シャントなどの特定の疾患のみ肝臓用フードを使用します。
△外科手術・・・原因により外科手術が必要な疾患もあります。
*日常診療で一番多く遭遇するのは、薬剤や中毒性物質、誤食などが原因で起こる中毒性肝障害で、多くの場合1週間ほどの通院点滴と内服薬で快方に向かうことが多いです。







